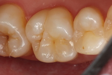
A sealant is a thin, plastic coating applied to the chewing surface of molars, premolars and any deep grooves (called pits and fissures) of teeth. More than 75% of dental decay begins in these deep grooves. Teeth with these conditions are hard to clean and are very susceptible to decay. A sealant protects the tooth by sealing deep grooves, creating a smooth, easy to clean surface.
Sealants can protect teeth from decay for many years, but need to be checked for wear and chipping at regular dental visits.
Reasons for sealants:
What do sealants involve?
Sealants are easily applied by your dentist La Jolla or dental hygienist and the process takes only a couple of minutes per tooth.
The teeth to be sealed are thoroughly cleaned and then surrounded with cotton to keep the area dry. A special solution is applied to the enamel surface to help the sealant bond to the teeth. The teeth are then rinsed and dried. Sealant material is carefully painted onto the enamel surface to cover the deep grooves or depressions. Depending on the type of sealant used, the material will either harden automatically or with a special curing light.
Proper home care, a balanced diet, and regular dental visits will aid in the life of your new sealants.
The Enlighten teeth whitening system is a quick, easy, effective way to brighten your smile up to 10 shades. For your convenience, the Enlighten product line offers both in-office and at-home whitening treatments, so you can choose the option that best suits your needs. To learn more about this amazing teeth whitening option, contact our practice today.
For the added convenience of our patients, we can provide a kit that will enable them to undergo their teeth whitening treatments at home. We will furnish our patients with a set of specially molded, clear dental trays that are inserted over the upper and lower teeth. A cleaning solution is placed in the trays while you wear them. The trays can be worn at night or on the weekends. In seven to 10 days, you will see your teeth up to eight shades whiter.
For quality teeth whitening, contact our office and discover that brighter, beautiful smile today.
Porcelain veneers use thin shells of porcelain that are bonded onto the front of your teeth to restore them to their original luster. Porcelain veneers can mask the appearance of chipped or stained teeth, while also straightening teeth that are slightly crooked or misaligned.
Porcelain veneers create a smooth, polished appearance and can be color-matched to your other teeth. They will look natural and feel natural. In addition, porcelain veneers will resist the staining or discoloring that is caused by the consumption of such products as tobacco, tea, coffee, and red wine.
For more detailed information on the types of veneers we offer, please visit our porcelain veneers page
As part of our commitment to amalgam-free dentistry, Bird Rock Dental provides high quality porcelain crowns for our patients with severely damaged teeth. A crown is a restorative measure utilised when an insufficient amount of tooth remains to hold a filling.
Prior to the placement of a porcelain crown, we will remove the damaged portion of your tooth and reshape the remaining area to properly receive your new crown. An adhesive is then used to securely fit your crown to your tooth.
The ceramic used for your crown can be matched to your natural tooth color. When the procedure is complete, your new porcelain crown will look and feel like a natural fixture of your teeth.
Bird Rock Dental can provide you with quality dental bridges if you are missing one or more teeth. Missing teeth can begin a general weakening of the jaw structure as teeth begin to shift and compensate for the ensuing gap.
Our dental bridges are created to look as natural as possible. We use only the finest ceramic materials to create replacement fixtures that look and feel like real teeth. Your dental bridge will be anchored by two invisible crowns, not a wire as is often the case in many bridge placements. When further supported by our superior dental implants, you can trust in the strength and stability of your new dental bridge while marveling at how well they mirror the natural appearance of the rest of your teeth.
Using computer-imaging technology, we are able to create your dentures one tooth at a time. We begin by designing a digital portrait of what you can expect the finished product to look like. We endeavor to ensure that the process is painstakingly precise.
From the photographs, we shift to the design and creation of your dentures. We fashion each tooth to fit in its place as precisely and naturally as possible. In the end, you will be astonished by a set of dentures that will look very much like real teeth.